〒761-2304 香川県綾歌郡綾川町萱原807-3
琴電琴平線「綾川」駅から徒歩1分

診療時間
8:30~12:30/14:00~18:00
休診:日祝、木土午後

お気軽にお問合せください

087-876-5433

インプラントの治療事例

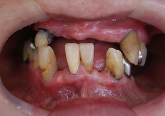
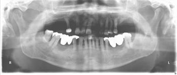
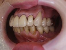
下顎fullインプラント

DSC00465.JPG
DSC00469.JPG
DSC00470.JPG

下顎のフルインプラントです。6本のインプラント(4本では不安です)を埋入して上部構造はスクリュウで固定してます。下の総義歯はみなさんどうしても浮き上がってきて食べにくいです。インプラントを埋入して即時負荷をかけるのはどうかと思いますが、骨と結合した後ならかなり頑丈な上部構造ができて、硬いものでも噛みやすくなります。

●● 様 男性 70代

治療の期間・回数:6か月、10回
治療の価格:150万円/下顎
治療のリスクや副作用:手術後に、痛みや腫れ、出血、合併症などを引き起こす可能性があります。噛む感覚がご自身の歯と異なる場合があります見た目がご自身の歯と異なる場合があります。手術後にメインテナンスを継続しないと抜け落ちる可能性があります。

前歯部インプラント

術前

DSC00079-2.jpg

術後

DSC00247-2.jpg

患者さんの左上L123が動揺のため保存不可能でしたので抜歯し、しばらく義歯を使ってもらいながらインプラントを2本埋入し、左上13で上部構造を作った症例です。動揺もなく、インプラントで咬めることを患者さんも喜んでいただきました。

女性 70代

治療の期間・回数:6か月、7回
治療の価格:25円/1歯あたり
治療のリスクや副作用:手術後に、痛みや腫れ、出血、合併症などを引き起こす可能性があります。噛む感覚がご自身の歯と異なる場合があります。見た目がご自身の歯と異なる場合があります。手術後にメインテナンスを継続しないと、インプラントが抜け落ちる可能性があります。

前歯から臼歯までインプラントの症例

症例1

義歯を入れたくなくなった患者さん。インプラントの調子はよく、たまに来院されると、よく噛めると喜んでくれてます。

 男性70代

治療の期間・回数:6か月、10回
治療の価格:20万円/1歯あたり
治療のリスクや副作用:手術後に、痛みや腫れ、出血、合併症などを引き起こす可能性があります。噛む感覚がご自身の歯と異なる場合があります。見た目がご自身の歯と異なる場合があります。手術後にメインテナンスを継続しないと、インプラントが抜け落ちる可能性があります。

症例2

初診

DSC00325.JPG
DSC00322.JPG
DSC00326.JPG

義歯

DSC00329.JPG
DSC00327.JPG
DSC00330.JPG

インプラント治療後(以前のセラミックの冠はできるだけ残してます。)

DSC00459.JPG
DSC00458.JPG
DSC00460.JPG

義歯が無くなり、奥歯で噛めることは生活の質の向上につながると思います。

●● 様女性 60代

治療の期間・回数:5ヶ月、10回
治療の価格:20万円/1歯あたり
治療のリスクや副作用:手術後に、痛みや腫れ、出血、合併症などを引き起こす可能性があります。噛む感覚がご自身の歯と異なる場合があります。見た目がご自身の歯と異なる場合があります。手術後にメインテナンスを継続しないと、インプラントが抜け落ちる可能性があります。

症例3
DSC00306.jpg
DSC00607.jpg

●● 様 女性 ●代

治療の期間・回数:6か月、12回
治療の価格:20万円/1歯あたり
治療のリスクや副作用:手術後に、痛みや腫れ、出血、合併症などを引き起こす可能性があります。噛む感覚がご自身の歯と異なる場合があります。見た目がご自身の歯と異なる場合があります。手術後にメインテナンスを継続しないと、インプラントが抜け落ちる可能性があります。

臼歯遊離端

 インプラント治療で最もその利点を発揮できるのが臼歯部の遊離端欠損だと思います。ブリッジができない、でも義歯には抵抗がある・・・そんな方は是非インプラントがいいと思います。奥歯で噛めると前歯の負担も減ります。インプラントの奥歯があると食事が非常にしやすくなるのです。

●● 様 女性 60代

治療の期間・回数:5か月、7回
治療の価格:20万円/1歯あたり
治療のリスクや副作用:手術後に、痛みや腫れ、出血、合併症などを引き起こす可能性があります。噛む感覚がご自身の歯と異なる場合があります。見た目がご自身の歯と異なる場合があります。手術後にメインテナンスを継続しないと、インプラントが抜け落ちる可能性があります。

中間欠損の症例

右のインプラントが調子よく、左もする予定になった患者さん

で、1年後、右のように。『もっと早くしておけばよかった。』とおっしゃっていただけました。

●● 様 女性 ●60代

治療の期間・回数:4か月、●6回
治療の価格:20万円/1歯あたり
治療のリスクや副作用:手術後に、痛みや腫れ、出血、合併症などを引き起こす可能性があります。噛む感覚がご自身の歯と異なる場合があります。見た目がご自身の歯と異なる場合があります。手術後にメインテナンスを継続しないと、インプラントが抜け落ちる可能性があります。

お問合せ・ご予約はこちら

お気軽にお問合せください

お電話でのお問合せ・ご予約はこちら

087-876-5433

診療時間:8:30~12:30/14:00~18:00
     ※日祝、木土午後休診

診療時間

診療日
 
午前 ×
午後 × × ×
診療時間

午前 8:30~12:30
午後 14:00~18:00

休診日

日曜日・祝日
※木曜日・土曜日は午後休診

ご予約・お問合せ

お気軽にご連絡ください。

087-876-5433

アクセス

住所

〒761-2304
香川県綾歌郡綾川町
萱原807-3

琴電琴平線「綾川」駅
から徒歩1分