〒761-2304 香川県綾歌郡綾川町萱原807-3
琴電琴平線「綾川」駅から徒歩1分

診療時間
8:30~12:30/14:00~18:00
休診:日祝、木土午後

お気軽にお問合せください

087-876-5433

一般歯科の治療事例

接着ブリッジ

右下2番の欠損です。唇側は削らずに天然の歯質の色を残します。

DSC00511.JPG
DSC00519.JPG

舌側のみ削るのですが、維持があるように削るのがミソです。

DSC00513.JPG
DSC00520.JPG

右上4番5番欠損の症例ですが、3番犬歯を削る量をできるだけ少なくしてブリッジにしています。(6番はもともと冠が入っていました。普通はこのようにぐるっと削るわけです。)

当院では、できるだけこのように自分の歯を削らないでいいようなブリッジをお勧めしています。

右上ブリッジ1.jpg
右上ブリッジ2.jpg
右上ブリッジ3側面観.jpg

根管治療

当院では、根管治療に力を入れております。根管治療は家を建てる時の造成や基礎にあたるからです。

根管治療(抜髄、感染根管治療)時の根管充填方法は、ほとんどの場合、オピアンでの垂直加圧式で行っております。水平加圧式と比べて、予後もよく、すぐに支台築造にとりかかれるので、患者さんの来院回数を減らすことにもつながるからです。

症例1
yasiha5,.jpg

右上7番の脱離が主訴ですが、頬側歯肉にフィステル(ろう孔)があり腫れてて歯肉に穴が開いていました。

初診時のパノラマレントゲン画像で、歯根膜の拡大が認められます。(根尖部に黒い透過像が見えます。)

つまり根の先で慢性的に膿んでたわけです。

 

yosiha2.jpg

根管内の感染物を除去し、数度の貼薬後、根管から水酸化カルシウム製剤、フィステルから確認用のポイントを入れてのレントゲン(デンタル)を撮影した画像。

(白く映ってるのは水酸化カルシウム製剤でまっすぐ伸びてる棒状のものがポイント)

yosiha3.jpg

水酸化カルシウム製剤とオピアンの垂直加圧で根管充填を行い、根充後の確認用レントゲン(デンタル)を撮影した画像。(根管内がオピアンで白く映っています。)

オピアンの場合、根充後すぐにレジン築造または築造用の印象が取れます。この症例でも、問題が無かったので次回来院時、メタルコアセットをしました。

yosiha4,.jpg

2年後のレントゲン画像。根尖から外に飛び出ていたものはすべてなくなっています。根尖と骨の間に黒い透過像が無くなっていて骨と歯がしっかりと着いています。

症例2
スケさん術前.1.jpg

左下7番の腫脹、疼痛を主訴に来られた患者さんです。

初診時のパノラマレントゲンです。神経がいつのまにか感染してしまっていて、神経が腐って根っこの先に膿がたまっています。根尖部周辺に透過像がみられ、歯根膜の拡大が認められます。

スケさん術中.jpg

まずは解放して根尖部の圧を抜き、膿が出やすいようにします。落ち着いたら根管内を消毒していきます。

スケさん根充.jpg

根充後の確認のレントゲンです。水酸化カルシウム製剤と垂直加圧の根充剤がきれいに入っています。根尖に飛び出しているのは吸収するので心配いりません。

スケさん術後.jpg

2年後のパノラマレントゲンです。根尖部の透過像が無くなり、根と骨がくっついてるのがわかると思います。もちろん腫れも痛みもなく経過良好です。

症例3

  フィステル(瘻孔)があって、変色している症例。根管治療をすると、フィステルは消失。

DSC00513.JPG
DSC00520.JPG

  レントゲン写真がこちら。根管治療&根管充填(この場合キャナルス&ガッターパーチャ)後。

DSC00513.JPG
DSC00520.JPG

  で、漂泊してCR充填すればきれいに出来上がり。

DSC00513.JPG
DSC00520.JPG

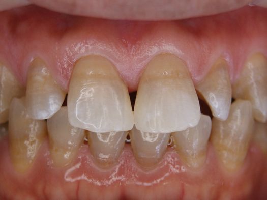
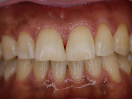
正中離開(CRで修復)

症例1
正中CR術前.jpg
正中CR術後.jpg
症例2
正中CR術前2..jpg
正中CR術前2.jpg
症例3
DSC00547.jpg
DSC00548.jpg
症例4
正中離解術前..jpg
正中離解術後,.jpg
症例5
DSC00735.jpg
DSC00736.jpg
症例6
DSC00602.jpg
DSC00615.jpg
DSC00614.jpg

患者さんの希望もあり、同じく正中離解をCRで修復(歯は削ってません)してみたのですが、間隙が広いのでやってみるまで満足してもらえるかわかりませんでした。(一応石膏模型上で石膏を盛った状態を見てもらい納得してもらって修復しました。)笑った時に歯頸部まで見えないので、思ったより不自然でなくやってよかったようです。

症例7
DSC00602.jpg
DSC00615.jpg
症例8
DSC00602.jpg
DSC00615.jpg

MBの修理

MB修理前.jpg
MB修理後.jpg

他医院で入れて破折していたMB(メタルボンド=陶材焼き付け鋳造冠)の修理です。陶材つまり焼き物を修理するのは接着に関する知識と材料等が必要です。もったいないので冠を外さずに、これも全く削らないでCRで修理しています。当院では他医院で入れた陶材(セラミック)の修理もお受けしております。(右は修理後、一か月後の写真です。)

漂白(ウォーキングブリーチ)

術前

DSC00992.JPG

術後

DSC01025.JPG

漂白&CR充填での症例です。

術前

DSC00947..jpg

術後

DSC00955.jpg

患者さんの右上1,2番を漂白しております。唇側からは一切削らず、ウォーキングブリーチのみ行っております。

術前

左上1漂白術前.jpg

術後

左上1漂白術後.jpg

左上1番(患者さんの)漂白です。失活根管内に薬を入れて漂白します。(期間は1ヶ月ほど、回数は4~5回かかります)

術前

漂白,充填前.jpg

術後

漂白、充填後.jpg

上顎両側中切歯の変色を主訴に来院。2週間漂白後、CR(コンポジットレジン)で修復して変色を直した症例。若干色がちがいますが、かなり改善したことに喜んでいただけました。

DSC00444.JPG
DSC00463.JPG

右上1の変色です。頑張って漂白してみたのですが・・・ちょっと色が合いませんでした。最初よりはいいと思うのですが・・・

漂白前.jpg
漂白後.jpg

右上1番の変色です。もう少し白くなったらよかったのですが、なりませんでした。

1番漂白.jpg
1番漂白術後.jpg

左上1番のテトラサイクリンによる変色があっての漂白は色がなかなか合いません・・

歯頸部漂白術前.jpg
歯頸部漂白術後.jpg

歯頸部の変色の漂白です。完全に変色がなくならなかったので、唇側を少し削ってCR充填をしようと思ったのですが、患者さんがこのままを希望されたので、唇面は全く削っていません。

漂白とCR術前.jpg
漂白とCR術後.jpg

左上の1番を漂白してCRにて修復しています。

術前

DSC00945.jpg

術後

DSC00985.jpg

根管治療をしてからでないと漂白できない場合があります。その場合2か月近くかかりますが、それでもかぶせずに済むのが利点です。

DSC00707,.jpg
DSC00738,.jpg
漂白術前左上1.jpg
漂白術後左上1.jpg
DSC00733.jpg
DSC00753.jpg

術前

右上3の漂白とCR術前.jpg

術後

右上3漂白とCR術後.jpg

右上3番の漂白と、CR充填を行った症例です。

術前

DSC00945.jpg

術後

DSC00985.jpg

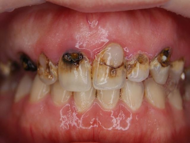
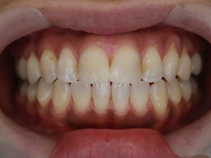
虫歯の治療

C処置術前.jpg
c処置術後.jpg

多発性カリエスです。CRで充填修復しています。出来るだけ歯質を残しています。

C処置術前.jpg
c処置術後.jpg

同じくCR(コンポジットレジン)で修復。保険の範囲内で治療できます。

切端金属術前...jpg
切端金属術後...jpg

昔の治療方で、切端と舌側を金属で修復していたのを、CRで治した症例です。前突気味ですので、かなり目立っていたので、喜んでくれました。

マウスガード

DSC00748.jpg

スポーツによる歯牙破折等の傷害を避けるためにもマウスガードはお勧めです。ただ、せっかく頑張って練習をしてきても、マウスガードの違和感や呼吸・嚥下障害等によって自身の運動能力が下がるようなことでは意味がありません。形態さえ間違っていなければ非常にいいものですので、多くの人に入れてほしいと思います。

DSC00747.jpg

右の写真は某歯科材料メーカーのポスターです。目立つポスターですので当院でも掲示しているのですが、マウスガードの形態ですが、これだと運動中に外したくなります。この形態のマウスガードでは、私の経験上、違和感や呼吸・嚥下障害によって運動能力は落ちてしまいます。

DSC00750.jpg

右の写真は当院で作った(私が作った)マウスガードです。黒矢印の前歯口蓋側部分は前歯の基底結節が出るようにえぐっています。切歯乳頭(前歯正中の裏の丸い膨らみ)は最低でも出しておくべきです。また赤矢印の部分は薄くしています。人の安静空隙は2〜3mmです。それ以上の厚みは咬筋の異常な収縮によって、運動能力は下がるし、運動中に歯根膜痛が起こります。できるだけ違和感を少なくし、呼吸・嚥下障害も少なくし口腔内を広く使えるようにすると長時間入れることも楽になり、運動能力も上がります。

DSC00745.jpg

私自身が格闘技(レスリング)をしながら、自分でマウスガードの形態を修正しながら試してきたので自信を持っています。もちろん、当院のマウスガードはスポーツの種類をお聞きして私が作成(圧接機械あり)、調整しています。

3番破折歯

3番破折術前.jpg
3番破折歯.jpg

3番が急に動揺して食事ができないのを主訴に来られました。レントゲンでみると破折してることがわかりました。麻酔して歯冠を取ってみると右のような状態では破折していました。

3番破折術前2.jpg
3番破折術中.jpg

根の長さが保存できるだけある場合、このように両隣の歯にワイヤーを固定して、ゴムで引っ張り上げて、根を挺出させます。

3番破折術中2.jpg
3番破折術後.jpg

根がある程度挺出したので築造して補綴しました。このように当院では残せる歯は出来るだけ残すようにしています。

CRの変色

DSC00617.jpg
DSC00618.jpg

古いCRは変色しやすいです。CRの変色が気になるようでしたら充填し直すときれいになります。充填し直すのは結構簡単です。

お問合せ・ご予約はこちら

お気軽にお問合せください

お電話でのお問合せ・ご予約はこちら

087-876-5433

診療時間:8:30~12:30/14:00~18:00
     ※日祝、木土午後休診

診療時間

診療日
 
午前 ×
午後 × × ×
診療時間

午前 8:30~12:30
午後 14:00~18:00

休診日

日曜日・祝日
※木曜日・土曜日は午後休診

ご予約・お問合せ

お気軽にご連絡ください。

087-876-5433

アクセス

住所

〒761-2304
香川県綾歌郡綾川町
萱原807-3

琴電琴平線「綾川」駅
から徒歩1分